Introduction
Rhino-orbital-cerebral mucormycosis (ROCM) is a rare and potentially deadly infectious disease caused by angioinvasive mold infection originating in the paranasal sinuses and invading adjacent structures such as the orbit, cavernous sinus, skull base and brain. Angioinvasion results in vascular obstruction and necrosis, leading to complications such as blindness, orbital destruction, cavernous sinus thrombosis, meningitis and cerebral infarction. We aimed to highlight and discuss the clinical picture, imaging characteristics, diagnostic approach and short- and long-term therapeutic management based on a case of ROCM treated at our hospital.
Case presentation
A 39-year-old male Moldovan patient who visited Switzerland for professional reasons had received emergency treatment for diabetic ketoacidosis in a secondary care hospital, where he reported right facial pain and facial hypesthesia. An magnetic resonance imaging (MRI) showed unilateral right-sided pansinusitis, which was treated with amoxicillin/clavulanic acid. Routine testing yielded a positive diagnosis of SARS-CoV-2. Ketoacidosis and serum glucose levels were corrected but the patient developed right exophthalmos and blindness. A follow-up MRI showed right eye muscle edema with intraorbital cellulitis (Figure 1). The patient was transferred to the intensive care unit of our tertiary care hospital.
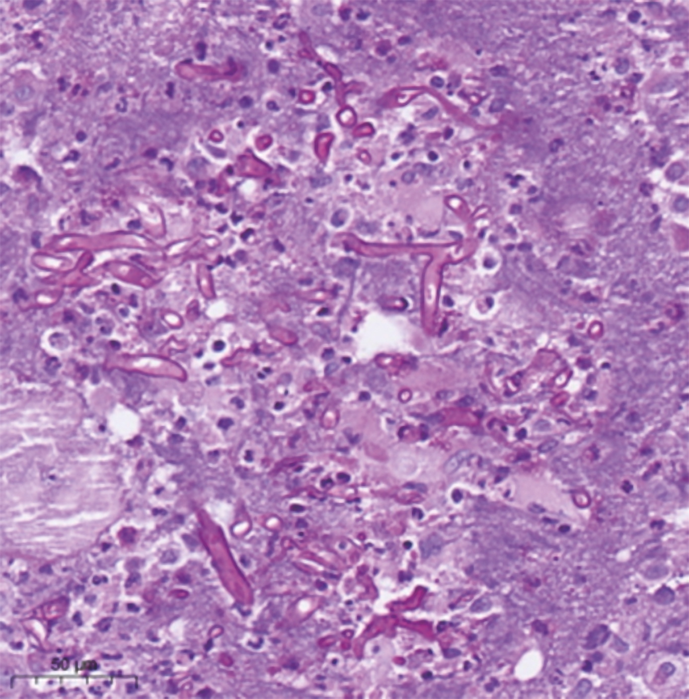
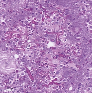
Examination by an ears, nose and throat (ENT) specialist revealed right-sided pansinusitis with black necrotic eschars, suggestive of ROCM. Right orbital decompression and right fronto-spheno-ethmoidectomy were performed. Extensive black eschars were noted intraoperatively (Figure 2). Histopathological examination of the tissue revealed non-septate hyphae branching at 90° angles with associated necrotizing florid inflammation and angioinvasion on haematoxylin and eosin (H&E) (Figure 3) and periodic acid–Schiff (PAS) stained samples, compatible with mucormycosis. Cultures grew of Rhizopus arrhizus. Treatment with high-dose liposomal amphotericin B (10 mg/kg) was initiated. The right orbit was exenterated, the skull base and the pterygopalatine fossa were debrided. The immediate postoperative MRI showed inflammatory progression along the right mandibular and maxillary nerves and into the thrombotic right cavernous sinus, as well as pachymeningeal temporal and frontobasal enhancement (Figure 4). A second-look operation was performed one day later for extended debridement of the right skull base and pterygopalatine fossa. An MRI acquired postoperatively revealed the progression of the infection to the central skull base with perineural spread. Complete removal of all infected tissue would have involved the cavernous sinus, which was considered impossible due to potentially fatal complications. A palliative approach with the best possible medical therapy consisting of high-dose liposomal amphotericin B. Analgesic therapy and stabilization of the metabolic situation was agreed upon. At the patient’s family’s request, a transfer to a hospital in his home country was organized. With liposomal amphotericin B unavailable in Moldova, he was switched to isavuconazole 200 mg/day. 25 days after admission the patient was transferred to Moldova and we lost contact. It was not until approximately a year later that we were able to contact his wife. She told us about the slow and unexpected recovery of her husband, who was now almost symptom-free under posaconazole 300 mg daily, as isovuconazole was not available. He has recently been looking for a job in Germany in order to get insurance that would allow him adequate follow-up that cannot be provided in his home country.
Discussion
According to the World Health Organization, the worldwide incidence of mucormycosis (MM) varies between 0.005 and 1.7 per million population, whereas in India the incidence is approximately 80 times higher. It has an associated mortality rate of 68% in patients with disseminated disease and 31% in those with cutaneous disease.1 MM is an angioinvasive infection caused by molds of the order Mucorales. Approximately 27 species are associated with human infections. Of these, Rhizopus arrhizus is the pathogen most commonly responsible for MM worldwide, followed by Lichtheimia, Apophysomyces, Rhizomucor, Mucor and Cunninghamella species.2 Sites of infection (in descending order) include the rhino-orbito-cerebral region, skin, gastrointestinal tract, lung and kidney; disseminated disease is the least common.1 Transmission occurs through inhalation of, or skin contact with, spores, which are ubiquitous in the environment, but normally do not harm an immunocompetent host.3 Risk factors for both acute and chronic ROCM include poorly controlled diabetes, diabetic ketoacidosis, immunosuppression, neutropenia, iron overload and long-term- or high-dose steroid use. Breakthrough invasive commonly pulmonary MM in patients with hematological malignancies under posaconazole prophylaxis has been described.2 In the presented case, ketoacidosis in a patient with poorly controlled diabetes was considered the dominant risk factor for ROCM.
Hyphal growth in mucormycosis is crucially dependent on free iron availability. An acidotic milieu such as in ketoacidosis or necrotic tissue provides free iron. Angioinvasive hyphal growth provides for ischemia and tissue necrosis to further propagate fungal growth.4 This, in addition to poor penetration of antifungal drugs into necrotic tissue, is the chief reason for the recommended radical debridement of all infected tissue in invasive mucormycosis.5
During the COVID-19 pandemic, a massive increase in the incidence of invasive fungal diseases was reported, especially in India, in patients with severe COVID-19 infection or convalescing after infection. In some regions of India, MM has even been declared an epidemic disease.1 Immuno-dysregulating effects or endothelial dysfunction due to the SARS-CoV-2-virus seem to play a role.6,7 Risk factors include severe and/or active COVID-19 infection, corticosteroid administration and male sex. Vaccination against COVID-19 seems to be protective.8 Our patient tested positive for SARS-CoV-2 on routine testing at admission. However, there was no evidence of active infection. Whether concomitant COVID-19 contributed to his ROCM remains uncertain.
Signs and symptoms of ROCM depend on the stage of the disease and range from sinonasal symptoms to purulent or granular nasal discharge, nasal congestion, facial swelling and pain, hypesthesia, palatal or palpebral necrosis, signs of systemic infection, as well as orbital symptoms (ophthalmoplegia, vision loss, proptosis) or altered mental status.5,7 Nasal endoscopic findings typically include black or necrotic eschars.
Symptoms may evolve over a few days up to several weeks. In patients with chronic ROCM, diagnosis is more challenging due to the slow development of symptoms, often beginning with nonspecific facial pain and sinonasal symptoms. It is often treated as common sinusitis until fungal sinusitis is suspected based on black eschars and confirmed by histopathology.
The diagnosis of ROCM is based on microbiological cultures and microscopic evidence from tissue biopsies, as defined by the in 2019 updated European Organization for Research and Treatment of Cancer and the Mycoses Study Group Education and Research Consortium (EORTC).9 Proven MM involves microscopic characteristics like ribbon-like non-septate, right-angle branching hyphae, 200 μm in length, seen in samples treated with special stains (haematoxylin eosin, periodic acid Schiff, Gomori Grocott’s methanamine silver stain), accompanied by evidence of associated tissue damage.10 Cultures are best taken from tissue samples rather than swabs.4,11 There is no application for serologic testing. Quantitative polymerase chain reaction (PCR) is available, but not yet part of clinical daily use. There are no reliable markers in MM.
Measurement of serum disaccharides (e.g. galactomannan GM or (1,3)-β-D-Glucan BDG), can help to rule out other invasive fungal disease (aspergillosis, candidiasis).12
As early treatment is crucial for improving outcome, treatment often has to be initiated before positive laboratory or histopathological findings can confirm the diagnosis of an ROCM. Black mucosal eschars detected in early endoscopic investigation should raise suspicion of ROCM and trigger further diagnostic and therapeutic steps. In our case, mold infection was suspected based on the patient’s history, his clinical presentation and black eschars detected endonasally. The diagnosis was confirmed by microscopy and culture of resected tissue.
A computed tomography (CT) scan of the paranasal sinus is useful for delineating the full extent of bony erosion and destruction. It should be acquired as a navigable scan with 1 mm slices. However, MRI with its excellent soft-tissue resolution is the modality of choice for the diagnosis and staging of ROCM particularly with intracranial disease extension. Except for bony involvement, MRI has a higher sensitivity than CT for detecting all intracranial complications.13
In our patient sinonasal disease presented as mucoperiosteal thickening with variable signal intensity on T1-weighted (T1w) and T2-weighted (T2w) MRI. The frequently observed T1w hyperintense and T2w hypointense signal of the mucoperiosteum can be attributed to paramagnetic fungal elements. A T2w hyperintense signal with diffusion restriction and lack of contrast enhancement of nasal turbinates in patients with acute invasive fungal rhinosinusitis is known as the ‘black turbinate sign’ and is indicative of necrotic tissue. The middle turbinate is the most frequently affected site in the nasal cavity, whereas the maxillary, ethmoid and sphenoid sinuses are the infected sites within the paranasal sinus.5 Extension of ROCM beyond the sinus initially without bony destruction due to its angioinvasive propensity and ability to disseminate along perivascular and perineural channels is one of the imaging hallmarks. Preantral and retroantral fat, sphenopalatine foramen, nasopharynx, pterygopalatine and infratemporal fossa, buccal space, masticator space, palate and oral cavity should always be carefully examined for disease spread. Early involvement is indicated by stranding of fat planes, and inflammatory edema with rapid progression to tiny abscess formations, as in our patient.
The spectrum of orbital involvement includes the extraocular muscles, the extra- and intraconal fat, the optic nerve, the globe, the orbital apex and bony orbital walls as seen during the disease course of our patient.14 Optic nerve infarction is detected as altered T2w signal intensity of the involved nerve with diffusion restriction, whereas accompanying optic neuritis appears as thickening and enhancement of the optic nerve sheath.15
The spectrum of intracranial dissemination includes vascular (arterial and venous thrombosis, vasculitis, inflammatory [pseudo-]aneurysm), parenchymal (infarct, cerebritis, abscess), meningeal (pachymeningitis), osseous pathology and perineural spread.
It is crucial for radiologists to be familiar with the imaging manifestations of the disease in order to facilitate early treatment. A multimodal approach results in the best chances of survival for a patient with ROCM. This requires correction and improvement of the underlying causes, early diagnosis, timely surgical debridement and prompt antifungal treatment.3
Extensive debridement reduces microbial load and removes the microenvironment that favors fungal growth. Complete resection seems to reduce mortality by 49% but demands high cosmetic and functional sacrifices.16 Resection of infected cavernous sinus, internal carotid artery, skull base and even dura and brain tissue are technically possible17 and may improve the outcome.7 However, they are associated with considerable perioperative risks and need to be discussed with patients and their relatives.
Liposomal amphotericin B is the initial therapy of choice at a recommended dose of 5–10 mg/kg/day. There are no guidelines on the duration of medical therapy that may depend on clinical improvement and the absence of signs of active infection on repeat imaging studies.17
Endoscopic endonasal resection and orbital exenteration were the maximum extension of surgery in our patient leaving inflamed and probably infected tissue in situ. Despite incomplete debridement, oral antifungal therapy with isavuconazole and later posaconazole resulted in clinical recovery. The patient is now leading a normal life adjusting to his functional limitations. Currently, he continues to receive antifungal treatment.
In conclusion, our case presented with an acute course of ROCM. However, despite incomplete surgical removal of infected tissue, the patient recovered over the course of a year under continued mold-active oral antifungal therapy with itraconazole and posaconazole. Because no follow-up MRI studies were done in Moldova it is unknown whether he has complete remission or controlled stable disease suggestive of chronic ROCM.18
Conclusion
The diagnosis of ROCM in an initially ketoacidotic patient with poorly controlled diabetes was promptly established after admission and treatment was quickly initiated, including tight diabetes control, extensive and mutilating surgery and antifungal therapy. The often-lethal disease stabilized after repeated but incomplete surgery and the patient is able to go about his daily life with corresponding restrictions due to the missing eye. However, despite antifungal therapy continued for more than a year, he may still be at risk of disease progression. Follow-up imaging studies seem warranted.
Despite the rarity of the disease, ROCM should be considered in patients with known risk factors and compatible clinical presentation. Early diagnosis and adequate therapy may limit the extent of tissue damage and, consequently, the disfiguring consequences of radical surgery. As our case demonstrates, survival is possible, albeit at a high cost.
Consent to participate
The patient gave his informed consent on publishing his medical data to this case.
Availability of data and materials
All patient data that support this case report are included in anonymized form in the published article.
Conflict of interest
The authors have declared that the study was conducted in the absence of any commercial or financial relationships that could be construed as a potential conflict of interest.
Funding
All authors have declared that no financial support was received from any organization for the submitted work.
Author contributions
All authors contributed to and approved the final manuscript and agree to be accountable for all aspects of the work. CL and FW designed the work; CL, MW, SZ, JW and CD acquired and analyzed the data; CL and FW drafted and revised the manuscript.

_stain_(40x).jpeg)
